Рязанские медики вытащили осколок из колена парня на волосок от беды
Об этом сообщили в региональном Минздраве.
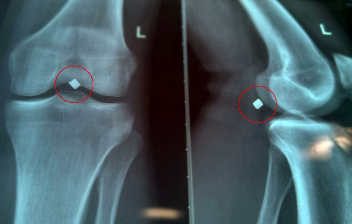
Траектория движения снаряда была впечатляющей: металлический фрагмент проник сквозь надколенник, прошел через полость коленного сустава и остановился буквально в миллиметрах от важного сосудисто-нервного пучка ноги. Из-за постоянного давления на ткани нога постоянно болела, вызывая сильный дискомфорт и ограничивая подвижность.
Обследование показало точное местоположение осколка, и врачи приняли решение провести операцию. Руководивший процедурой кандидат медицинских наук, сердечно-сосудистый хирург Вячеслав Владимирович Карпов, подчеркнул сложность ситуации: металл находился непосредственно рядом с крупной веной, почти касаясь стенки сосуда, что создавало риск серьезного кровотечения.
Хирурги провели вмешательство с высочайшей точностью, осторожно извлекли опасный объект и устранили источник болей. Благодаря успешной работе медиков, пациенту вернули комфорт и полноценную двигательную активность. Теперь он чувствует себя хорошо и отправлен домой для продолжения восстановительного периода.
Медицинские специалисты подчеркивают важность своевременного обращения к специалистам даже при небольших травмах. Это позволяет избежать серьезных осложнений и восстановить здоровье без риска для жизни.
Источник фото: Рязанский Минздрав
